Denne side findes kun på engelsk.
GC Tempase 2X Master Mix I
PCR ENZYMER - GC-rich DNA Amplification

GC TEMPase 2x master mixes

GC TEMPase 2x Master Mix I or II are ready-to-use mixes based on either GC Buffer I or GC Buffer II. GC TEMPase master mixes are specially designed for the amplification of GC-rich DNA sequences.

Features

  • High success rate with amplification of GC-rich DNA
  • High sensitivity, specificity and product yield
  • Diminished formation of non-specific products
  • Allows for reaction setup at room temperature
  • Processes up to 5 kb

DESCRIPTION

TIP - WHICH MASTER MIX TO CHOOSE FOR GC-RICH AMPLIFICATION

The GC TEMPase 2x master mixes consist of TEMPase Hot Start DNA Polymerase combined with either GC Buffer I or GC Buffer II, dNTPs and MgCl2. Just add DNA template and primers to successfully carry out PCR.

4x GC Buffer I and II are also available separately.

If your PCR fails with TEMPase Hot Start Polymerase 2x MASTER MIX A, we kindly recommend you to try GC TEMPase 2x Master Mix I.  If your amplification is still not satisfactory, then switch to GC TEMPase 2x Master Mix II.

OPTIMIZATION OF GC-RICH DNA AMPLIFICATION

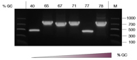
COVERAGE STUDY OF GC TEMPASE 2x MASTER MIX I

Six genes with varying percentage of GC contents were amplified with Standard Buffer (lanes S), Ammonium Buffer (lanes A), GC Buffer I (lanes I) and GC Buffer II (lanes II). M. Marker. With an increasing percentage of GC content in the expected amplicon, Standard Buffer and Ammonium Buffer fail to support the correct amplification products, while GC Buffer I and GC Buffer II succeed. Correct amplified products are encircled.

GC TEMPase I displays superior performance on a broad range of amplicons with a GC content ranging from 41 – 78 %.  Five genes with increasing percentage of GC content were amplified using GC TEMPase Master Mix I. Lane M is Marker (Iqon DNA Mini Ladder). Number of PCR cycles used in this study is 40.

Documents
Explore More