Denne side findes kun på engelsk.
Combination Buffer
PCR ENZYMER - PCR Buffers

10x Combination Buffer

10x Combination Buffer is a balanced ammonium-potassium PCR buffer. Combination Buffer results in tolerance towards optimization of primer annealing temperatures and Mg2+ concentrations.

Features

  • Promotes reliable amplification on most DNA templates
  • Tolerance toward primer annealing temperature
  • 10x buffer

DESCRIPTION

AVAILABLE IN 4 FORMULATIONS

10x Ammonium Buffer is recommended for most PCR applications however; we recommend that you continue using 10x Standard Buffer if you have already optimized your protocols for this buffer. The use of 10x Standard buffer most often requires optimization of primer annealing temperatures and Mg2+ concentrations. Highly pure DNA templates are preferable if you use this buffer.

  • 15 mM MgCl2,
  • Mg2+ free
  • Tween free
  • Mg2+ free + Tween free

TIP - CHOOSE THE RIGHT BUFFER

Mg2+ free buffer is recommended if you need to optimize Mg2+ concentrations in your PCR set-up, especially if your application requires Mg2+ concentration lower than 1.5 mM.

Detergent free buffers are recommended for automation and downstream applications involving fluorescent spectrometry.

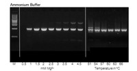
Ammonium Buffer:
Minimal need for optimization.
A broad range of Mg2+ concentrations and temperatures results in specific products with high yield (Lanes 1.5 - 2.5 and lanes 57-66)

Standard Buffer: 
Optimization is needed.
A narrow range of Mg2+ concentrations and temperatures results in specific products. (Lanes 1.5 - 2.0 and lanes 60-66)

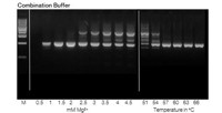
Combination Buffer: 
Optimization is needed.
A narrow range of Mg2+ concentrations and temperatures results in specific products with high yields. (Lane 1.5 and lanes 60-66)

Examples of PCR amplification of ENG9. TEMPase and the indicated buffers were used at the indicated Mg2+ concentrations or temperatures. The first part shows a Mg2+ dilution series from 0.5 - 4.5 mM MgCl2 at 60 °C. The second part shows a temperature gradient from 51 - 66 °C at 1.5 mM MgCl2. M: marker.

Documents
Explore More