Tempase Hot Start Dna Polymerase
PCR ENZYMES - Hot Start DNA Polymerases

TEMPase Hot Start DNA Polymerase

TEMPase Hot Start DNA Polymerase 5 U/µl has been designed to diminish the formation of non-specific priming events during reaction set-up and the first ramp of thermal cycling. TEMPase Hot Start DNA Polymerase therefore enables detection of low abundance targets as well as multiplexing purposes. 

Features

  • Reaction set-up at room temperature
  • dUTP incorporation possible
  • Increased sensitivity, specificity, and product yield
  • Processes up to 5 kb

DESCRIPTION

TEMPase Hot Start DNA Polymerase is a chemically modified version of Ampliqon Taq DNA Polymerase and is activated by heat treatment.

A chemical moiety is attached to the enzyme at the active site, which renders the TEMPase Hot Start enzyme inactive at room temperature.

During set up and the first ramp of thermal cycling, the enzyme is not active and misprimed primers are not extended. Once the PCR reaction reaches the optimal activation temperature, the chemical moiety is cleaved releasing the active TEMPase Hot Start DNA Polymerase. Resulting in higher specificity, sensitivity and yield compared to standard Ampliqon Taq DNA polymerase.

TEMPase Hot Start DNA Polymerase is suitable for detection of low abundance targets, screening, multiplexing, direct colony PCR and Real time PCR applications.

TEMPase Hot Start DNA polymerase also exits in glycerol format for automation and lyophilization: TEMPase Hot Start DNA Polymerase Glyceerol Free

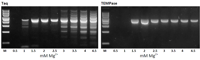
TEMPASE HOT START DNA POLYMERASE PROMOTES INCREASED SPECIFICITY AND YIELD

Example of PCR amplification of BAIP3. Taq or TEMPase Hot Start DNA Polymerases were used for amplification of BAIP3 with Ammonium Buffer and the indicated Mg2+ concentrations. TEMPase Host Start DNA Polymerase provides specific amplification over a broad range of Mg2+ concentrations and increased yield. In contrary, Taq DNA Polymerase only provides specific amplification at 2mM Mg2+. TM: Marker.

TARGET RANGE

INACTIVITY AT AMBIENT TEMPERATURE

Amplification performance on five different DNA target increasing in length (788 bp – 5223 bp) were evaluated using TEMPase Hot Start DNA Polymerase . For DNA targets exceeding 3000 bp (CFTR, AT-OUT, and PDK1), the amplification performance was optimized by employing 35 cycles and extending the elongation time. Additionally, the inclusion of 5% DMSO in the PCR reaction setup was necessary for the amplification of the longest DNA target, PDK1 (5223 bp).All five DNA targets tested in this study were successfully amplified using TEMPase Hot Start DNA Polymerase. This study demonstrates that TEMPase Hot Start DNA Polymerases can effectively amplify DNA targets of up to at least 5000 base pairs (bp).

TEMPase Hot Start DNA Polymerase is activated by initial heating at 95 °C for 15 minutes. (lane 1). Without activation the enzyme is completely inactive (lane 2). M: marker.

Product links
Documents
Explore More